Ένα ασυνήθιστο και επώδυνο περιστατικό σημάδεψε πρόσφατα το νοσοκομείο της Λάρισας, όπου ένας “σιτεμένος” επιχειρηματίας εισήχθη με σοβαρό τραυματισμό στα γεννητικά του όργανα.
- Ο άνδρας, σύμφωνα με πληροφορίες, βρέθηκε σε κατάσταση έντονου πόνου μετά από ερωτική επαφή με υπέρβαρη συνοδό πολυτελείας.
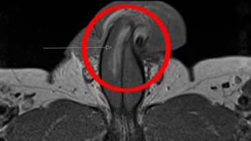
Όπως ανέφερε, κατά τη διάρκεια της πράξης, “κάτι δεν πήγε καλά” και το πέος του έδειχνε να έχει υποστεί ρήξη.
- Οι γιατροί του νοσοκομείου πραγματοποίησαν λεπτή χειρουργική επέμβαση για να αποκαταστήσουν τη ζημιά. Παρόλο που η επέμβαση φαίνεται να ήταν επιτυχής, ο ασθενής αντιμετώπισε σημαντική ψυχολογική δυσφορία από το συμβάν, με πιθανή ανάγκη για ψυχολογική υποστήριξη.
Το συμβάν άνοιξε ξανά τη συζήτηση γύρω από τους κινδύνους της απροσεξίας σε έντονες εpωτικές συνευρέσεις, ιδιαίτερα σε περιπτώσεις ανισομερούς σωματικής διάπλασης ή μεγάλης ηλικιακής διαφοράς.
Κάποιοι, πιο σκωπτικοί, σχολίασαν με χιούμορ το περιστατικό, λέγοντας: «Όταν παίζεις με τη φωτιά, καμιά φορά καίγεσαι – ή… σπας!» Ίσως τελικά ο παππούς να το παρατράβηξε, κυριολεκτικά και μεταφορικά.
