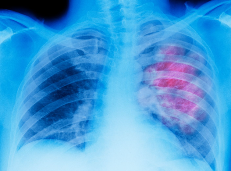
Οι καπνιστές αποτελούν ομάδα υψηλού κινδύνου για την ανάπτυξη σοβαρών πνευμονικών παθήσεων, όπως ο καρκίνος του πνεύμονα και η χρόνια αποφρακτική πνευμονοπάθεια (ΧΑΠ). Μία νέα μελέτη που δημοσιεύθηκε πρόσφατα αναδεικνύει την αξία της ετήσιας αξονικής τομογραφίας θώρακα σε καπνιστές, επισημαίνοντας ότι η έγκαιρη διάγνωση μπορεί να σώσει ζωές.
Πάτα ΕΔΩ για τη συνέχεια



GIPHY App Key not set. Please check settings